
Poliomyelitis
Background to the schools Wikipedia
This content from Wikipedia has been selected by SOS Children for suitability in schools around the world. With SOS Children you can choose to sponsor children in over a hundred countries
Poliomyelitis (pron.: / p oʊ l i oʊ m aɪ ə l aɪ t ɪ s /), often called polio or infantile paralysis, is an acute, viral, infectious disease spread from person to person, primarily via the fecal-oral route. The term derives from the Greek poliós (πολιός), meaning "grey", myelós (µυελός “marrow”), referring to the grey matter of the spinal cord, and the suffix -itis, which denotes inflammation., i.e., inflammation of the spinal cord’s grey matter, although a severe infection can extend into the brainstem and even higher structures, resulting in polioencephalitis, producing apnea that requires mechanical assistance such as an iron lung.
Although approximately 90% of polio infections cause no symptoms at all, affected individuals can exhibit a range of symptoms if the virus enters the blood stream. In about 1% of cases, the virus enters the central nervous system, preferentially infecting and destroying motor neurons, leading to muscle weakness and acute flaccid paralysis. Different types of paralysis may occur, depending on the nerves involved. Spinal polio is the most common form, characterized by asymmetric paralysis that most often involves the legs. Bulbar polio leads to weakness of muscles innervated by cranial nerves. Bulbospinal polio is a combination of bulbar and spinal paralysis.
Poliomyelitis was first recognized as a distinct condition by Jakob Heine in 1840. Its causative agent, poliovirus, was identified in 1908 by Karl Landsteiner. Although major polio epidemics were unknown before the late 19th century, polio was one of the most dreaded childhood diseases of the 20th century. Polio epidemics have crippled thousands of people, mostly young children; the disease has caused paralysis and death for much of human history. Polio had existed for thousands of years quietly as an endemic pathogen until the 1880s, when major epidemics began to occur in Europe; soon after, widespread epidemics appeared in the United States.
By 1910, much of the world experienced a dramatic increase in polio cases and epidemics became regular events, primarily in cities during the summer months. These epidemics — which left thousands of children and adults paralyzed — provided the impetus for a "Great Race" towards the development of a vaccine. Developed in the 1950s, polio vaccines have reduced the global number of polio cases per year from many hundreds of thousands to under a thousand today. Enhanced vaccination efforts led by Rotary International, the World Health Organization, and UNICEF should result in global eradication of the disease.
Classification
| Outcome | Proportion of cases |
|---|---|
| Asymptomatic | 90–95% |
| Minor illness | 4–8% |
| Nonparalytic aseptic meningitis |
1–2% |
| Paralytic poliomyelitis | 0.1–0.5% |
| — Spinal polio | 79% of paralytic cases |
| — Bulbospinal polio | 19% of paralytic cases |
| — Bulbar polio | 2% of paralytic cases |
The term "poliomyelitis" is used to identify the disease caused by any of the three serotypes of poliovirus. Two basic patterns of polio infection are described: a minor illness which does not involve the central nervous system (CNS), sometimes called abortive poliomyelitis, and a major illness involving the CNS, which may be paralytic or nonparalytic. In most people with a normal immune system, a poliovirus infection is asymptomatic. Rarely, the infection produces minor symptoms; these may include upper respiratory tract infection (sore throat and fever), gastrointestinal disturbances (nausea, vomiting, abdominal pain, constipation or, rarely, diarrhea), and influenza-like illness.
The virus enters the central nervous system in about 3% of infections. Most patients with CNS involvement develop nonparalytic aseptic meningitis, with symptoms of headache, neck, back, abdominal and extremity pain, fever, vomiting, lethargy, and irritability. About one to five in 1000 cases progress to paralytic disease, in which the muscles become weak, floppy and poorly controlled, and, finally, completely paralyzed; this condition is known as acute flaccid paralysis. Depending on the site of paralysis, paralytic poliomyelitis is classified as spinal, bulbar, or bulbospinal. Encephalitis, an infection of the brain tissue itself, can occur in rare cases, and is usually restricted to infants. It is characterized by confusion, changes in mental status, headaches, fever, and, less commonly, seizures and spastic paralysis.
Cause
Poliomyelitis is caused by infection with a member of the genus Enterovirus known as poliovirus (PV). This group of RNA viruses colonize the gastrointestinal tract — specifically the oropharynx and the intestine. The incubation time (to the first signs and symptoms) ranges from three to 35 days, with a more common span of six to 20 days. PV infects and causes disease in humans alone. Its structure is very simple, composed of a single (+) sense RNA genome enclosed in a protein shell called a capsid. In addition to protecting the virus’s genetic material, the capsid proteins enable poliovirus to infect certain types of cells. Three serotypes of poliovirus have been identified—poliovirus type 1 (PV1), type 2 (PV2), and type 3 (PV3)—each with a slightly different capsid protein. All three are extremely virulent and produce the same disease symptoms. PV1 is the most commonly encountered form, and the one most closely associated with paralysis.
Individuals who are exposed to the virus, either through infection or by immunization with polio vaccine, develop immunity. In immune individuals, IgA antibodies against poliovirus are present in the tonsils and gastrointestinal tract, and are able to block virus replication; IgG and IgM antibodies against PV can prevent the spread of the virus to motor neurons of the central nervous system. Infection or vaccination with one serotype of poliovirus does not provide immunity against the other serotypes, and full immunity requires exposure to each serotype.
A rare condition with a similar presentation, nonpoliovirus poliomyelitis, may result from infections with nonpoliovirus enteroviruses.
Transmission
Poliomyelitis is highly contagious via the oral-oral (oropharyngeal source) and fecal-oral (intestinal source) routes. In endemic areas, wild polioviruses can infect virtually the entire human population. It is seasonal in temperate climates, with peak transmission occurring in summer and autumn. These seasonal differences are far less pronounced in tropical areas. The time between first exposure and first symptoms, known as the incubation period, is usually six to 20 days, with a maximum range of three to 35 days. Virus particles are excreted in the feces for several weeks following initial infection. The disease is transmitted primarily via the fecal-oral route, by ingesting contaminated food or water. It is occasionally transmitted via the oral-oral route, a mode especially visible in areas with good sanitation and hygiene. Polio is most infectious between seven and 10 days before and after the appearance of symptoms, but transmission is possible as long as the virus remains in the saliva or feces.
Factors that increase the risk of polio infection or affect the severity of the disease include immune deficiency, malnutrition, tonsillectomy, physical activity immediately following the onset of paralysis, skeletal muscle injury due to injection of vaccines or therapeutic agents, and pregnancy. Although the virus can cross the maternal-fetal barrier during pregnancy, the fetus does not appear to be affected by either maternal infection or polio vaccination. Maternal antibodies also cross the placenta, providing passive immunity that protects the infant from polio infection during the first few months of life.
As a precaution against infection, public swimming pools were often closed in affected areas during poliomyelitis epidemics.
Pathophysiology
Poliovirus enters the body through the mouth, infecting the first cells with which it comes in contact — the pharynx and intestinal mucosa. It gains entry by binding to an immunoglobulin-like receptor, known as the poliovirus receptor or CD155, on the cell membrane. The virus then hijacks the host cell's own machinery, and begins to replicate. Poliovirus divides within gastrointestinal cells for about a week, from where it spreads to the tonsils (specifically the follicular dendritic cells residing within the tonsilar germinal centers), the intestinal lymphoid tissue including the M cells of Peyer's patches, and the deep cervical and mesenteric lymph nodes, where it multiplies abundantly. The virus is subsequently absorbed into the bloodstream.
Known as viremia, the presence of virus in the bloodstream enables it to be widely distributed throughout the body. Poliovirus can survive and multiply within the blood and lymphatics for long periods of time, sometimes as long as 17 weeks. In a small percentage of cases, it can spread and replicate in other sites, such as brown fat, the reticuloendothelial tissues, and muscle. This sustained replication causes a major viremia, and leads to the development of minor influenza-like symptoms. Rarely, this may progress and the virus may invade the central nervous system, provoking a local inflammatory response. In most cases, this causes a self-limiting inflammation of the meninges, the layers of tissue surrounding the brain, which is known as nonparalytic aseptic meningitis. Penetration of the CNS provides no known benefit to the virus, and is quite possibly an incidental deviation of a normal gastrointestinal infection. The mechanisms by which poliovirus spreads to the CNS are poorly understood, but it appears to be primarily a chance event—largely independent of the age, gender, or socioeconomic position of the individual.
Paralytic polio
In around 1% of infections, poliovirus spreads along certain nerve fibre pathways, preferentially replicating in and destroying motor neurons within the spinal cord, brain stem, or motor cortex. This leads to the development of paralytic poliomyelitis, the various forms of which (spinal, bulbar, and bulbospinal) vary only with the amount of neuronal damage and inflammation that occurs, and the region of the CNS affected.
The destruction of neuronal cells produces lesions within the spinal ganglia; these may also occur in the reticular formation, vestibular nuclei, cerebellar vermis, and deep cerebellar nuclei. Inflammation associated with nerve cell destruction often alters the colour and appearance of the gray matter in the spinal column, causing it to appear reddish and swollen. Other destructive changes associated with paralytic disease occur in the forebrain region, specifically the hypothalamus and thalamus. The molecular mechanisms by which poliovirus causes paralytic disease are poorly understood.
Early symptoms of paralytic polio include high fever, headache, stiffness in the back and neck, asymmetrical weakness of various muscles, sensitivity to touch, difficulty swallowing, muscle pain, loss of superficial and deep reflexes, paresthesia (pins and needles), irritability, constipation, or difficulty urinating. Paralysis generally develops one to ten days after early symptoms begin, progresses for two to three days, and is usually complete by the time the fever breaks.
The likelihood of developing paralytic polio increases with age, as does the extent of paralysis. In children, nonparalytic meningitis is the most likely consequence of CNS involvement, and paralysis occurs in only one in 1000 cases. In adults, paralysis occurs in one in 75 cases. In children under five years of age, paralysis of one leg is most common; in adults, extensive paralysis of the chest and abdomen also affecting all four limbs — quadriplegia — is more likely. Paralysis rates also vary depending on the serotype of the infecting poliovirus; the highest rates of paralysis (one in 200) are associated with poliovirus type 1, the lowest rates (one in 2,000) are associated with type 2.
Spinal polio
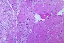
Spinal polio, the most common form of paralytic poliomyelitis, results from viral invasion of the motor neurons of the anterior horn cells, or the ventral (front) grey matter section in the spinal column, which are responsible for movement of the muscles, including those of the trunk, limbs, and the intercostal muscles. Virus invasion causes inflammation of the nerve cells, leading to damage or destruction of motor neuron ganglia. When spinal neurons die, Wallerian degeneration takes place, leading to weakness of those muscles formerly innervated by the now-dead neurons. With the destruction of nerve cells, the muscles no longer receive signals from the brain or spinal cord; without nerve stimulation, the muscles atrophy, becoming weak, floppy and poorly controlled, and finally completely paralyzed. Progression to maximum paralysis is rapid (two to four days), and is usually associated with fever and muscle pain. Deep tendon reflexes are also affected, and are usually absent or diminished; sensation (the ability to feel) in the paralyzed limbs, however, is not affected.
The extent of spinal paralysis depends on the region of the cord affected, which may be cervical, thoracic, or lumbar. The virus may affect muscles on both sides of the body, but more often the paralysis is asymmetrical. Any limb or combination of limbs may be affected—one leg, one arm, or both legs and both arms. Paralysis is often more severe proximally (where the limb joins the body) than distally (the fingertips and toes).
Bulbar polio
Making up about 2% of cases of paralytic polio, bulbar polio occurs when poliovirus invades and destroys nerves within the bulbar region of the brain stem. The bulbar region is a white matter pathway that connects the cerebral cortex to the brain stem. The destruction of these nerves weakens the muscles supplied by the cranial nerves, producing symptoms of encephalitis, and causes difficulty breathing, speaking and swallowing. Critical nerves affected are the glossopharyngeal nerve (which partially controls swallowing and functions in the throat, tongue movement, and taste), the vagus nerve (which sends signals to the heart, intestines, and lungs), and the accessory nerve (which controls upper neck movement). Due to the effect on swallowing, secretions of mucus may build up in the airway, causing suffocation. Other signs and symptoms include facial weakness (caused by destruction of the trigeminal nerve and facial nerve, which innervate the cheeks, tear ducts, gums, and muscles of the face, among other structures), double vision, difficulty in chewing, and abnormal respiratory rate, depth, and rhythm (which may lead to respiratory arrest). Pulmonary edema and shock are also possible and may be fatal.
Bulbospinal polio
Approximately 19% of all paralytic polio cases have both bulbar and spinal symptoms; this subtype is called respiratory or bulbospinal polio. Here, the virus affects the upper part of the cervical spinal cord ( cervical vertebrae C3 through C5), and paralysis of the diaphragm occurs. The critical nerves affected are the phrenic nerve (which drives the diaphragm to inflate the lungs) and those that drive the muscles needed for swallowing. By destroying these nerves, this form of polio affects breathing, making it difficult or impossible for the patient to breathe without the support of a ventilator. It can lead to paralysis of the arms and legs and may also affect swallowing and heart functions.
Diagnosis
Paralytic poliomyelitis may be clinically suspected in individuals experiencing acute onset of flaccid paralysis in one or more limbs with decreased or absent tendon reflexes in the affected limbs that cannot be attributed to another apparent cause, and without sensory or cognitive loss.
A laboratory diagnosis is usually made based on recovery of poliovirus from a stool sample or a swab of the pharynx. Antibodies to poliovirus can be diagnostic, and are generally detected in the blood of infected patients early in the course of infection. Analysis of the patient's cerebrospinal fluid (CSF), which is collected by a lumbar puncture ("spinal tap"), reveals an increased number of white blood cells (primarily lymphocytes) and a mildly elevated protein level. Detection of virus in the CSF is diagnostic of paralytic polio, but rarely occurs.
If poliovirus is isolated from a patient experiencing acute flaccid paralysis, it is further tested through oligonucleotide mapping ( genetic fingerprinting), or more recently by PCR amplification, to determine whether it is " wild type" (that is, the virus encountered in nature) or "vaccine type" (derived from a strain of poliovirus used to produce polio vaccine). It is important to determine the source of the virus because for each reported case of paralytic polio caused by wild poliovirus, an estimated 200 to 3,000 other contagious asymptomatic carriers exist.
Prevention
Passive immunization
In 1950, William Hammon at the University of Pittsburgh purified the gamma globulin component of the blood plasma of polio survivors. Hammon proposed the gamma globulin, which contained antibodies to poliovirus, could be used to halt poliovirus infection, prevent disease, and reduce the severity of disease in other patients who had contracted polio. The results of a large clinical trial were promising; the gamma globulin was shown to be about 80% effective in preventing the development of paralytic poliomyelitis. It was also shown to reduce the severity of the disease in patients who developed polio. The gamma globulin approach was later deemed impractical for widespread use, however, due in large part to the limited supply of blood plasma, so the medical community turned its focus to the development of a polio vaccine.
Vaccine
Two types of vaccine are used throughout the world to combat polio. Both types induce immunity to polio, efficiently blocking person-to-person transmission of wild poliovirus, thereby protecting both individual vaccine recipients and the wider community (so-called herd immunity).
The first candidate polio vaccine, based on one serotype of a live but attenuated (weakened) virus, was developed by the virologist Hilary Koprowski. Koprowski's prototype vaccine was given to an eight-year-old boy on February 27, 1950. Koprowski continued to work on the vaccine throughout the 1950s, leading to large-scale trials in the then Belgian Congo and the vaccination of seven million children in Poland against serotypes PV1 and PV3 between 1958 and 1960.
The second inactivated virus vaccine was developed in 1952 by Jonas Salk at the University of Pittsburgh, and announced to the world on April 12, 1955. The Salk vaccine, or inactivated poliovirus vaccine (IPV), is based on poliovirus grown in a type of monkey kidney tissue culture ( vero cell line), which is chemically inactivated with formalin. After two doses of IPV (given by injection), 90% or more of individuals develop protective antibody to all three serotypes of poliovirus, and at least 99% are immune to poliovirus following three doses.
Subsequently, Albert Sabin developed another live, oral polio vaccine (OPV). It was produced by the repeated passage of the virus through nonhuman cells at sub physiological temperatures. The attenuated poliovirus in the Sabin vaccine replicates very efficiently in the gut, the primary site of wild poliovirus infection and replication, but the vaccine strain is unable to replicate efficiently within nervous system tissue. A single dose of Sabin's oral polio vaccine produces immunity to all three poliovirus serotypes in about 50% of recipients. Three doses of live-attenuated OPV produce protective antibody to all three poliovirus types in more than 95% of recipients. Human trials of Sabin's vaccine began in 1957, and in 1958 it was selected, in competition with the live vaccines of Koprowski and other researchers, by the US National Institutes of Health. Licensed in 1962, it rapidly became the only polio vaccine used worldwide.
Because OPV is inexpensive, easy to administer, and produces excellent immunity in the intestine (which helps prevent infection with wild virus in areas where it is endemic), it has been the vaccine of choice for controlling poliomyelitis in many countries. On very rare occasions (about one case per 750,000 vaccine recipients), the attenuated virus in OPV reverts into a form that can paralyze. Most industrialized countries have switched to IPV, which cannot revert, either as the sole vaccine against poliomyelitis or in combination with oral polio vaccine.
Treatment
There is no cure for polio. The focus of modern treatment has been on providing relief of symptoms, speeding recovery and preventing complications. Supportive measures include antibiotics to prevent infections in weakened muscles, analgesics for pain, moderate exercise and a nutritious diet. Treatment of polio often requires long-term rehabilitation, including occupational therapy, physical therapy, braces, corrective shoes and, in some cases, orthopedic surgery.
Portable ventilators may be required to support breathing. Historically, a noninvasive, negative-pressure ventilator, more commonly called an iron lung, was used to artificially maintain respiration during an acute polio infection until a person could breathe independently (generally about one to two weeks). Today, many polio survivors with permanent respiratory paralysis use modern jacket-type negative-pressure ventilators worn over the chest and abdomen.
Other historical treatments for polio include hydrotherapy, electrotherapy, massage and passive motion exercises, and surgical treatments, such as tendon lengthening and nerve grafting.
Prognosis
Patients with abortive polio infections recover completely. In those who develop only aseptic meningitis, the symptoms can be expected to persist for two to ten days, followed by complete recovery. In cases of spinal polio, if the affected nerve cells are completely destroyed, paralysis will be permanent; cells that are not destroyed, but lose function temporarily, may recover within four to six weeks after onset. Half the patients with spinal polio recover fully; one-quarter recover with mild disability, and the remaining quarter are left with severe disability. The degree of both acute paralysis and residual paralysis is likely to be proportional to the degree of viremia, and inversely proportional to the degree of immunity. Spinal polio is rarely fatal.
Without respiratory support, consequences of poliomyelitis with respiratory involvement include suffocation or pneumonia from aspiration of secretions. Overall, 5–10% of patients with paralytic polio die due to the paralysis of muscles used for breathing. The mortality rate varies by age: 2–5% of children and up to 15–30% of adults die. Bulbar polio often causes death if respiratory support is not provided; with support, its mortality rate ranges from 25 to 75%, depending on the age of the patient. When intermittent positive pressure ventilation is available, the mortality can be reduced to 15%.
Recovery
Many cases of poliomyelitis result in only temporary paralysis. Nerve impulses return to the formerly paralyzed muscle within a month, and recovery is usually complete in six to eight months. The neurophysiological processes involved in recovery following acute paralytic poliomyelitis are quite effective; muscles are able to retain normal strength even if half the original motor neurons have been lost. Paralysis remaining after one year is likely to be permanent, although modest recoveries of muscle strength are possible 12 to 18 months after infection.
One mechanism involved in recovery is nerve terminal sprouting, in which remaining brainstem and spinal cord motor neurons develop new branches, or axonal sprouts. These sprouts can reinnervate orphaned muscle fibers that have been denervated by acute polio infection, restoring the fibers' capacity to contract and improving strength. Terminal sprouting may generate a few significantly enlarged motor neurons doing work previously performed by as many as four or five units: a single motor neuron that once controlled 200 muscle cells might control 800 to 1000 cells. Other mechanisms that occur during the rehabilitation phase, and contribute to muscle strength restoration, include myofiber hypertrophy—enlargement of muscle fibers through exercise and activity—and transformation of type II muscle fibers to type I muscle fibers.
In addition to these physiological processes, the body possesses a number of compensatory mechanisms to maintain function in the presence of residual paralysis. These include the use of weaker muscles at a higher than usual intensity relative to the muscle's maximal capacity, enhancing athletic development of previously little-used muscles, and using ligaments for stability, which enables greater mobility.
Complications
Residual complications of paralytic polio often occur following the initial recovery process. Muscle paresis and paralysis can sometimes result in skeletal deformities, tightening of the joints and movement disability. Once the muscles in the limb become flaccid, they may interfere with the function of other muscles. A typical manifestation of this problem is equinus foot (similar to club foot). This deformity develops when the muscles that pull the toes downward are working, but those that pull it upward are not, and the foot naturally tends to drop toward the ground. If the problem is left untreated, the Achilles tendons at the back of the foot retract and the foot cannot take on a normal position. Polio victims that develop equinus foot cannot walk properly because they cannot put their heel on the ground. A similar situation can develop if the arms become paralyzed. In some cases the growth of an affected leg is slowed by polio, while the other leg continues to grow normally. The result is that one leg is shorter than the other and the person limps and leans to one side, in turn leading to deformities of the spine (such as scoliosis). Osteoporosis and increased likelihood of bone fractures may occur. An intervention to prevent or lessen length disparity can be to perform an epiphysiodesis on the distal femoral and proximal tibial/fibular condyles, so that limb's growth is artificially stunted, and by the time of epiphyseal (growth) plate closure, the legs are more equal in length. Other surgery to re-balance muscular agonist/antagonist imbalances may also be helpful. Extended use of braces or wheelchairs may cause compression neuropathy, as well as a loss of proper function of the veins in the legs, due to pooling of blood in paralyzed lower limbs. Complications from prolonged immobility involving the lungs, kidneys and heart include pulmonary edema, aspiration pneumonia, urinary tract infections, kidney stones, paralytic ileus, myocarditis and cor pulmonale.
Post-polio syndrome
Between 25% and 50% of individuals who survive paralytic polio in childhood develop additional symptoms decades after recovering from the acute infection, notably new muscle weakness and extreme fatigue. This condition is known as post-polio syndrome (PPS) or post-polio sequelae. The symptoms of PPS are thought to involve a failure of the over-sized motor units created during recovery from paralytic disease. Factors that increase the risk of PPS include the length of time since acute poliovirus infection, the presence of permanent residual impairment after recovery from the acute illness, and both overuse and disuse of neurons. Post-polio syndrome is not an infectious process, and persons experiencing the syndrome do not shed poliovirus.
Epidemiology
While now rare in the Western world, polio is still endemic to South Asia and Africa, particularly Pakistan, and Nigeria respectively. Following the widespread use of poliovirus vaccine in the mid-1950s, the incidence of poliomyelitis declined dramatically in many industrialized countries. A global effort to eradicate polio began in 1988, led by the World Health Organization, UNICEF, and The Rotary Foundation. These efforts have reduced the number of annual diagnosed cases by 99%; from an estimated 350,000 cases in 1988 to a low of 483 cases in 2001, after which it has remained at a level of about 1,000 cases per year (1,606 in 2009). In 2012 cases decreased to 223. Polio is one of only two diseases currently the subject of a global eradication program, the other being Guinea worm disease. So far, the only diseases completely eradicated by humankind are smallpox, which happened in 1979, and rinderpest in 2010. A number of eradication milestones have already been reached, and several regions of the world have been certified polio-free. The Americas were declared polio-free in 1994. In 2000 polio was officially eliminated in 36 Western Pacific countries, including China and Australia. Europe was declared polio-free in 2002. As of 2012, polio remains endemic in only three countries: Nigeria, Pakistan, and Afghanistan, although it continues to cause epidemics in other nearby countries due to hidden or reestablished transmission. For example, despite eradication ten years prior, an outbreak was confirmed in China in September 2011 involving a strain prevalent in neighboring Pakistan. Since January 2011, there were no reported cases of the disease in India, and hence in February 2012, the country was taken off the WHO list of polio endemic countries. It is reported that if there are no cases of polio in the country for two more years, it will be declared as a polio-free country.
In Northern Nigeria—a country which at that time was considered provisionally polio free—an Islamic Fatwah was issued declaring that the polio vaccine was a conspiracy by the United States and the United Nations against the Muslim faith, saying that the drops were designed to sterilize the true believers. Subsequently, polio reappeared in Nigeria and spread from there to several other countries. Health workers administering polio vaccine have been targeted and killed by gunmen on motorcycles in Kano .
History

The effects of polio have been known since prehistory; Egyptian paintings and carvings depict otherwise healthy people with withered limbs, and children walking with canes at a young age. The first clinical description was provided by the English physician Michael Underwood in 1789, where he refers to polio as "a debility of the lower extremities". The work of physicians Jakob Heine in 1840 and Karl Oskar Medin in 1890 led to it being known as Heine-Medin disease. The disease was later called infantile paralysis, based on its propensity to affect children.
Before the 20th century, polio infections were rarely seen in infants before six months of age, most cases occurring in children six months to four years of age. Poorer sanitation of the time resulted in a constant exposure to the virus, which enhanced a natural immunity within the population. In developed countries during the late 19th and early 20th centuries, improvements were made in community sanitation, including better sewage disposal and clean water supplies. These changes drastically increased the proportion of children and adults at risk of paralytic polio infection, by reducing childhood exposure and immunity to the disease.
Small localized paralytic polio epidemics began to appear in Europe and the United States around 1900. Outbreaks reached pandemic proportions in Europe, North America, Australia, and New Zealand during the first half of the 20th century. By 1950 the peak age incidence of paralytic poliomyelitis in the United States had shifted from infants to children aged five to nine years, when the risk of paralysis is greater; about one-third of the cases were reported in persons over 15 years of age. Accordingly, the rate of paralysis and death due to polio infection also increased during this time. In the United States, the 1952 polio epidemic became the worst outbreak in the nation's history. Of nearly 58,000 cases reported that year 3,145 died and 21,269 were left with mild to disabling paralysis. Intensive care medicine has its origin in the fight against polio. Most hospitals in the 1950s had limited access to iron lungs for patients unable to breathe without mechanical assistance. Respiratory centers designed to assist the most severe polio patients, first established in 1952 at the Blegdam Hospital of Copenhagen by Danish anesthesiologist Bjørn Ibsen, were the harbingers of subsequent intensive care units (ICU). (A year later, Ibsen would establish the world's first dedicated ICU.)
The polio epidemics changed not only the lives of those who survived them, but also affected profound cultural changes; spurring grassroots fund-raising campaigns that would revolutionize medical philanthropy, and give rise to the modern field of rehabilitation therapy. As one of the largest disabled groups in the world, polio survivors also helped to advance the modern disability rights movement through campaigns for the social and civil rights of the disabled. The World Health Organization estimates that there are 10 to 20 million polio survivors worldwide. In 1977 there were 254,000 persons living in the United States who had been paralyzed by polio. According to doctors and local polio support groups, some 40,000 polio survivors with varying degrees of paralysis live in Germany, 30,000 in Japan, 24,000 in France, 16,000 in Australia, 12,000 in Canada and 12,000 in the United Kingdom. Many notable individuals have survived polio and often credit the prolonged immobility and residual paralysis associated with polio as a driving force in their lives and careers.
The disease was very well publicized during the polio epidemics of the 1950s, with extensive media coverage of any scientific advancements that might lead to a cure. Thus, the scientists working on polio became some of the most famous of the century. Fifteen scientists and two laymen who made important contributions to the knowledge and treatment of poliomyelitis are honored by the Polio Hall of Fame, which was dedicated in 1957 at the Roosevelt Warm Springs Institute for Rehabilitation in Warm Springs, Georgia, US. In 2008 four organizations (Rotary International, the World Health Organization, the U.S. Centers for Disease Control and UNICEF) were added to the Hall of Fame.









